
ELAZIĞ (AA) - Elazığ'da Fethi Sekin Şehir Hastanesi'nde kireçlenmiş damar tıkanıklarında rotablasyon tedavisi uygulanmaya başladı.
Hastaneden yapılan açıklamaya göre, hizmetlerine sürekli yenilerini ekleyen hastanede yoğun damar kireçlenmesinden dolayı stent ve balon işlemi uygulanmasında zorluk yaşanan hastalara rotablasyon tedavisi yapılmaya başlandı.
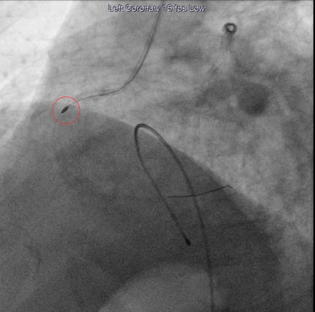
Dünyada yeni olan uygulama ile önce damardaki yoğun kireç, ucu elmas tozuyla kaplı bir damar içi araç ile tıraşlanarak temizleniyor, ardından balon yöntemiyle stent takılıyor.
Hastanede rotablasyon işlemini uygulayan kardiyoloji uzmanı Dr. İsmail Polat, hastanelerine başvuran dört hastaya rotablatör cihazıyla rotablasyon işlemi yaptıkların belirtti.
Tıkalı damarların önce balon yapıldığını ve ardından stent takıldığını ancak bazı hastalarda damarların çok kireçli ve sert olmasından dolayı bunu yapamadıklarını aktaran Polat, şunları kaydetti:
"Bu hastalarda balon ve stenti geçirmek, stenti optimal şartlarda açmak pek mümkün olmuyor. Bunlarda da şu an yeni bir teknoloji olan rotablasyon işlemi yapıyoruz. Rotablasyon işlemini rotablatör cihazı ile yapıyoruz. Cihazın ucunda elmas tozu kaplı bir uç var. Kendi ekseninde dakikada 150 ile 200 bin devirle dönen cihazı tıpkı bir matkap gibi kireçlenmiş, taşlaşmış olan tıkalı damar bölgesine kasıktan iletiyoruz ve burayı tıraşlayarak kireçli alanı temizliyoruz. Ondan sonra balon ve stent işlemi yapıp hastayı bir gün koroner yoğun bakımda takip ettikten sonra ertesi gün taburcu ediyoruz."
İşlemin anjiyografi laboratuvarında yapıldığını aktaran Polat, "Kasık veya kol damarınızdan işlem yapılabilir. Bu damarlara yerleştirilen kılıflar içerisinden kalp damarlarınıza plastik borular (kateter) yerleştirilir. Bu plastik borular yardımı ile ilgili darlığa rotablatör cihazı ilerletilir. Tıraşlama işlemi sırasında ve sonrasında normal anjiyografi uygulanarak darlığın durumu ve değişiklikler ayrıca incelenir." ifadelerini kullandı.